INCOR realizó complejo y novedoso procedimiento a paciente de sexo femenino que presentaba una patología cerebral importante.

En una gestión conjunta con el Ministerio de Salud de la provincia, el Hospital Vera Barros y el Servicio de Hemodinamia, Neurocirugía y Terapia Intensiva de INCOR se llevo a cabo la intervención a una mujer de 52 años de edad que carecía de obra social.

 

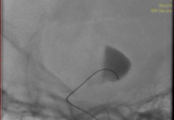
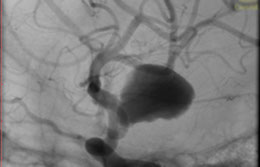
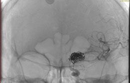
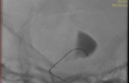
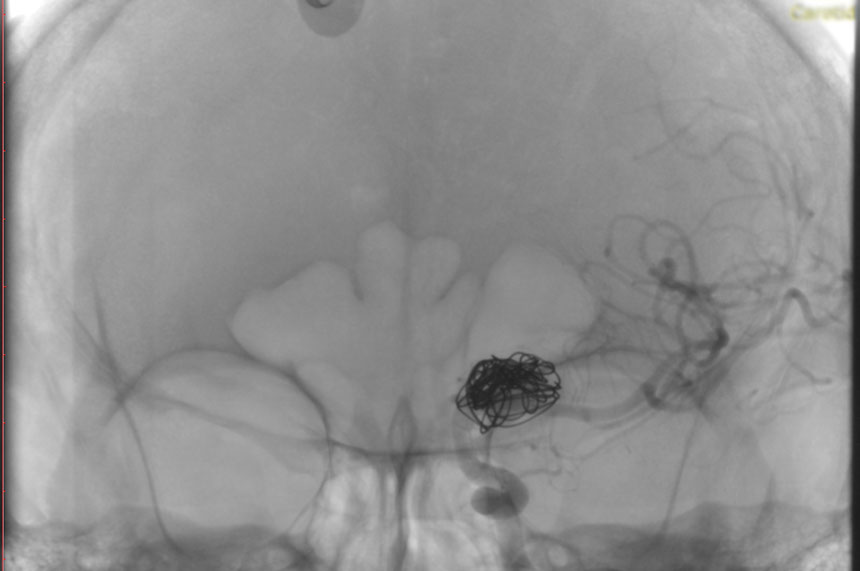
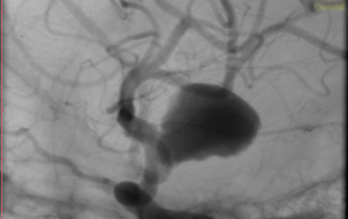
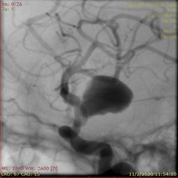
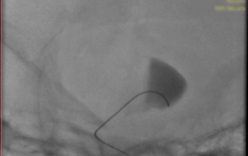
La paciente ingreso al Servicio de Hemodinamia el día martes 11 de febrero con un aneurisma cerebral gigante en la carótida izquierda y se le practicó una embolización; es decir una oclusión por dentro del mismo, donde se colocó un dispositivo denominado coils más un stent diversor de flujo. El procedimiento fue exitoso y contó con la colaboración de médicos neurointervencionistas del Instituto Oulton de la Ciudad de Córdoba.

 

La paciente llevaba un tiempo refiriendo dolores de cabeza, trastornos visuales por lo cual luego de realizarcele los estudios pertinentes y comprobar la patología se programó el procedimiento. Debido a que el Hospital Vera Barros no contaba con la tecnología necesaria para esta práctica compleja es que se realizó en la nueva Sala de Hemodinamia de INCOR en el marco de un convenio de trabajo conjunto entre la salud pública y la privada.

 

El equipo interviniente estuvo conformado por: Dr. Sebastian Parisi, Dr. Raul Ludueña, Dr, Cristian Avilar, Dr. Nicola Franco, Dr. Gustavo Foa Torres, Dr. Federico Roca, Dra. Iliana De la Vega y Dr.Martin Carrizo

 

 

CONSULTORIOS: BALTAZAR JARAMILLO 170

4464257

LUNES A VIERNES DE 8:00 A 22:00 HS

CARDIOLOGÍA: 3804 - 829446

3804730598 DE 8 A 12 HS

3804 - 533653 DE 8 A 13 HS

 

ADMISION: 4464915

 

VITTAL EMERGENCIAS :  4421217 PASAJE CARREÑO 169

ADMINISTRACIÓN VITTAL INCOR: 4421488

IMAC: 4430104

IMÁGENES: 4461356

 

SECRETARIA IMÁGENES: 3804 - 730586

 

© Incor La Rioja : : 2024